Poumon
Cancer du poumon
Qu’est-ce qu’un cancer du poumon ?
Il existe 2 types de tumeurs :
Les tumeurs primitives : cancer broncho-pulmonaire.
Les tumeurs secondaires : métastases pulmonaires d’un cancer et d’une autre origine.
Actuellement, le cancer bronchique représente la première cause de mortalité par cancer. Il s’agit du deuxième cancer en fréquence chez l’homme et du troisième chez la femme.
On sépare deux classes de cancers bronchiques :
Les cancers à petites cellules (CPC).
Les cancers non à petites cellules (CBNPC), qui représentent environ 80% des cas.
On isole les adénocarcinomes, les cancers épidermoïdes et les tumeurs carcinoïdes.
Quels sont les différents symptômes ?
Le plus souvent, l’évolution du cancer du cancer du poumon est asymptomatique. Le diagnostic se fait alors lors d’un examen systématique.
Des signes cliniques généraux peu spécifiques peuvent être retrouvés :
Amaigrissement,
Asthénie,
Anorexie,
Douleurs articulaires,
Douleurs thoraciques,
Déformation des doigts etc…
Parfois, ce sont l’apparition ou la modification des signes respiratoires qui peuvent orienter le diagnostic :
Bronchite ou pneumopathie,
Toux ou modification d’une toux,
Essoufflements,
Sifflements,
Crachats sanglants.
Comment le détecter ?
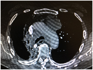
C’est le scanner thoracique avec injection d’iode qui oriente le diagnostic : nodule, trouble de la ventilation, ganglions etc…
Un bilan pneumologique est alors demandé :
Dans certains cas, le diagnostic est porté par le chirurgien :
Le bilan initial :
Ce bilan est systématique, il est exhaustif et permet le staging de la tumeur, il comprend :
Un bilan de la tumeur : local et extension à distance,
Un bilan pneumologique pour juger de la fonction respiratoire,
Un bilan général qui détermine les possibilités de traitement.
Le bilan de la tumeur associe :
Un scanner thoraco-abdominal injecté,
Un scanner ou un IRM cérébrale,
Une fibroscopie bronchique,
Un Tep Scanner pour juger du caractère fixant ou non de la tumeur, des ganglions satellites, d’une lésion à distance (os, foie, surrénale).
Une éventuelle écho-endoscopie bronchique selon les cas.
Un bilan fonctionnel respiratoire est réalisé par le pneumologue, il comprend :
Un EFR (Epreuve Fonctionnelle Respiratoire) avec gazométrie,
Une éventuelle épreuve d’effort (VO² Max)
Une scintigraphie pulmonaire Le but de ce bilan respiratoire est de juger des possibilités respiratoires d’exérèse pulmonaire, d’éventuellement vous préparer à une intervention. Bien sûr, il est capital de s’arrêter de fumer avant la chirurgie. L’équipe pneumologique et les addictologues vous aideront à vous sevrer.
Le bilan général :
Biologique,
Cardiologique : épreuve d’effort, coro-scanner, doppler des carotides,
Onco-gériatrique : si nécessaire.
Quels sont les traitements possibles ?
Votre dossier sera discuté en RCP (Réunion de Concertation Pluridisciplinaire) d’oncologie thoracique à laquelle participent :
Les pneumologues,
Les oncologues,
Les radiologues thoraciques,
Les chirurgiens thoraciques,
Les anatomo-pathologistes.
A l’issue de cette réunion, un projet de traitement est proposé : chirurgie, radiothérapie, chimiothérapie …
Cette décision est prise selon le stade de la tumeur, le bilan respiratoire et le bilan général.
La prévention du Cancer du Poumon
Un des facteurs de risque principal des cancers du poumon est le tabagisme, il existe des mesures de prévention permettant de limiter la survenue des cancers broncho-pulmonaires.
L’arrêt du tabac est une des mesures de prévention principale dans la prévention du cancer du poumon. Certains professionnels de santé peuvent vous aider dans votre démarche : tabacologues, addictologues, pneumologues etc…
Des outils de coaching sont aussi très utilisés pour arrêter la cigarette.
Éviter les expositions professionnelles cancérigènes : des substances telles que l’amiante favorisent l’apparition de cancers pulmonaires, il est donc important de ne pas être trop exposé à celles-ci.
Vous pouvez vous informer auprès de votre entreprise ou de votre médecin du travail.
Diminuer les expositions environnementales cancérigènes, telles que les rayonnements ionisants ou la pollution.



